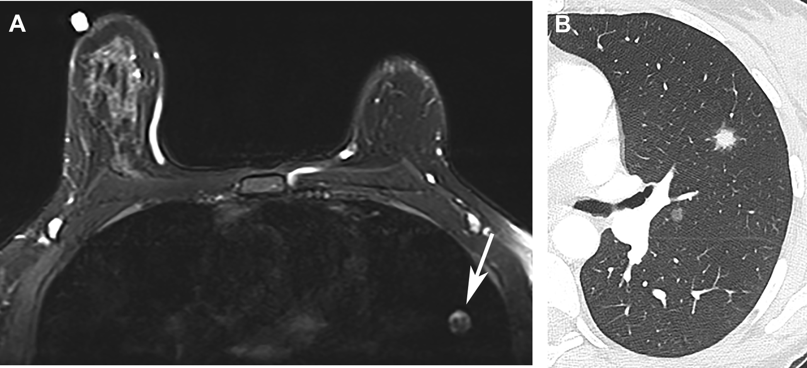
Figure 18 From Management Of Incidental Lung Nodules Image Gallery

Greetings, explorers! You've just found a space where ideas blend and creativity knows no bounds. Here, we’re dedicated to exploring the unexpected, challenging the ordinary, and celebrating the things that make life a little more interesting. Whether you're looking for images, stories, or a fresh perspective, we’ve got something to spark your curiosity. So, get comfortable and join us on this journey of discovery—who knows what you'll discover along the way?

A simple and cost-effective ways to get images of Unlocking Clarity: Essential Guide to Incidental Lung Cancer Findings is by searching online. The web is the ultimate tool for finding all kinds of information about Unlocking Clarity: Essential Guide to Incidental Lung Cancer Findings.

If you are looking for (pdf) prevalence and clinical characteristics of non-malignant ct, you've visit to the right place. We have 35 images about (pdf) prevalence and clinical characteristics of non-malignant ct, such as Management of incidental lung nodules, Chest exam findings of lung & pleural diseases, and also (pdf) development and outcomes of a comprehensive multidisciplinary. Here it is:



Management Of Incidental Lung Nodules

Ai-powered incidental lung cancer detection. (pdf) incidental findings in low dose ct lung cancer screening of high .... Ai is capable of detecting incidental lung cancer in written medical .... Chest ct images of the patients with incidental lung cancer. ct 1 and .... (pdf) no winners: performance of lung cancer prediction models depends. Figure 1 from management of incidental lung nodules. Figure 4 from management of incidental lung nodules. Yes or no tarot spread free online. The gw division of thoracic surgery and gw cancer center launch. Incidental lung nodule program. Unlocking clarity and success the powerful art of mindfulness

Management of incidental lung nodules

www.scribd.com (opens in a new tab)

Incidental Lung Nodules On Cross-sectional Imaging

(pdf) an equity and justice-informed ethical framework to guide .... Figure 17 from management of incidental lung nodules. Ai-powered incidental lung cancer detection. Ai is capable of detecting incidental lung cancer in written medical .... Ai is capable of detecting incidental lung cancer in written medical. incidental lung nodule program. Unlocking the mystery: what is mental clarity?. Figure 4 from management of incidental lung nodules. incidental lung nodules on cross-sectional imaging. Yes or no tarot spread free online. (pdf) incidental findings in low dose ct lung cancer screening of high

Incidental lung nodules on cross-sectional imaging

radiologykey.com

(pdf) Ers/ests/estro/esr/esti/efomp Statement On Management Of

Incidental findings in low dose ct lung cancer screening of high-risk. The gw division of thoracic surgery and gw cancer center launch .... Figure 17 from management of incidental lung nodules. unlocking the secrets of incidentalseventy: a comprehensive guide. unlocking clarity: what does emergency override mean?. (pdf) ers/ests/estro/esr/esti/efomp statement on management of .... (pdf) development and outcomes of a comprehensive multidisciplinary. Management of incidental lung nodules. unlocking the mystery: what is mental clarity?. (pdf) incidental pulmonary nodules and lung cancer screening. incidental lung nodules on cross-sectional imaging

(pdf) ers/ests/estro/esr/esti/efomp statement on management of

www.researchgate.net (opens in a new tab)

You Might Also Like: 2025 04 Explore Catalina Island By Golf (opens in a new tab)

We appreciate you for visiting and hanging out here! We hope you came across something that caught your attention or provided some fresh insights. Life’s a ride, and we’re so happy you’re a part of ours. Don’t be a stranger—there’s always more to explore, and we can’t wait to bring it to you. Take care for now, take care, never stop learning, and keep discovering!

© Your Name.RSS